A Tiny Fighter Faces the Night With Courage Hope and a Strength That Touches Every Heart

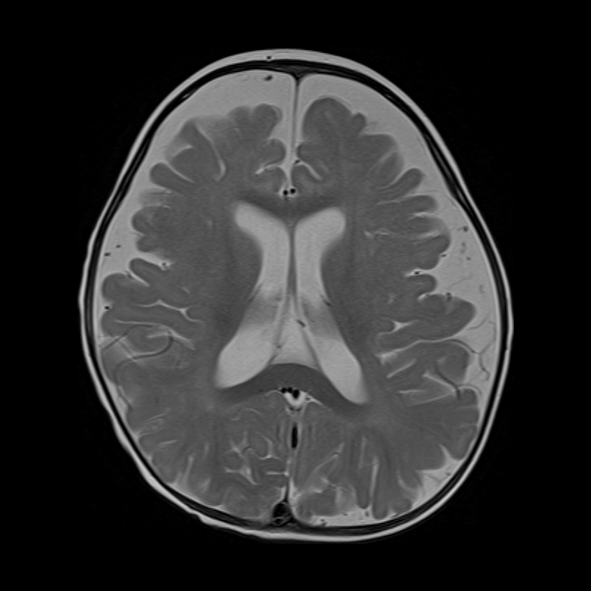
Doctors and family members are closely monitoring a newborn boy named Noah, who remains under intensive medical care as he faces a serious brain tumor diagnosed shortly after birth. Born significantly underweight and physically fragile, Noah is spending his earliest days surrounded by medical equipment, guided by constant care and quiet determination.
According to hospital staff, Noah’s condition requires round-the-clock monitoring. Each breath he takes is supported, and every heartbeat is carefully watched. Though his body is small and easily exhausted, those closest to him say his will to keep going has become a source of strength for everyone around him.

“From the moment he arrived, he showed us how strong he is,” his mother, Emily, said softly. “He may be tiny, but he keeps holding on. Every breath feels like a promise.”
Noah’s father, Michael, described the nights in the hospital as long and emotional. “You sit there listening to the machines, watching his chest rise and fall,” he said. “And you realize how precious every single second is. We talk to him, we hold his hand, and we let him know he’s not alone.”

Medical specialists have explained that treating a brain tumor in a newborn presents exceptional challenges due to the baby’s size and developing body. While the road ahead remains uncertain, the care team is focused on keeping Noah stable and as comfortable as possible while evaluating next steps.
Despite the exhaustion and fear, Noah’s parents say hope continues to guide them. “We believe in him,” Emily said. “We believe that love, care, and time can do incredible things.”

Nurses in the unit have noted how Noah’s presence has touched others in the ward, reminding families and staff alike of the quiet strength found in even the smallest patients. His story has begun to spread among relatives and friends, many of whom are sending messages of support and encouragement.
For now, Noah remains in a closely monitored environment, wrapped in warmth and surrounded by care. His parents say they are taking each hour as it comes, holding onto hope and cherishing every sign of progress.
“We don’t know what tomorrow will bring,” Michael said. “But tonight, he’s here. He’s breathing. And that means everything.”